Ortodonzia Linguale
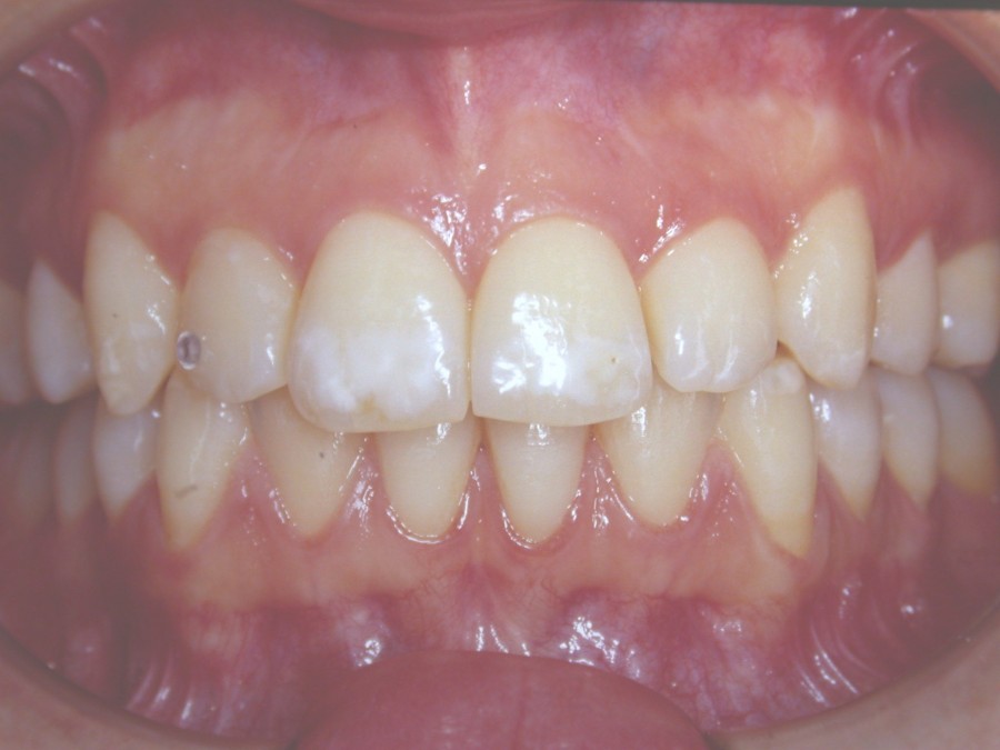
Caso di ortodonzia invisibile Incognito:asimmetria, estrazione dentale superiore
In questo caso di ortodonzia invisibile trattato con Apparecchio Linguale Incognito si è resa opportuna l'estrazione di un premolare unilaterale per la correzione della linea mediana interincisiva superiore, notevolmente spostata sulla destra del viso, e dell'affastellamento dentale. Il sorriso, al termine dell'allineamento ortodontico, è stato rifinito con sbiancamento dentale, ricontornamento dei denti frontali superiori e con l'apposizione di una faccetta estetica in ceramica sul canino siuperiore di destra, precedentemente notevolmente scurito da discromia restaurativa.
Ortodonzia Linguale classica e moderna a Firenze
Ortodonzia linguale ed esperienza
E' nozione diffusa sul Web e altrove che sia possibile gestire l'ortodonzia linguale solo da parte di ortodonzisti esperti. Da ancor prima del 1995 lo Studio Fedi esegue con successo trattamenti ortodontici invisibili con apparecchi ortodontici linguali di vario tipo. Questi 30 anni hanno insegnato che non sono le tecniche in sè che contano, ma l'esperienza nel saper individuare la tecnica giusta per ogni caso. Attualmente infatti nello Studio Fedi sono usati vari tipi di attacchi e di metodiche linguali tra cui anche quelle CadCam hi-tech come Incognito e Harmony. Questa non è l'unica metodica linguale hi-tech in uso. Con un po' di riflessione osserviamo che chi usa solo una tecnica è troppo legato a questa, non sempre la migliore per tutti i casi, mentre conoscendone e usandone diverse si possono usare i vantaggi di ognuna caso per caso senza sottostare necessariamente ai difetti dell'unica conosciuta. E in ogni caso ottimi risultati si sono ottenuti anche con la tecnica originale Ormco 7a generazione, la prima tecnica linguale di grande successo . Il nostro primo caso assoluto eseguito con quest'ultima risale al 1995 e la sua perfetta conclusione è visibile a questo link http://www.odontoclinic.it/ortodonzia_linguale_caso.htm
Da quando esiste l'ortodonzia linguale
L'ortodonzia linguale è da almeno trent' anni una tecnica importante: è stata la prima tecnica efficace per trattamenti di ortodonzia invisibile, praticata all'inizio e fino a poco tempo fa solo da pochissimi specialisti per la sua particolare difficoltà per il professionista. Ma ha ricompensato ampiamente il maggior impegno dell'ortodonzista volenteroso ed esperto con brillanti risultati.
L'ortodonzia linguale, ben progettata e condotta, si è sempre dimostrata pari e in molti casi superiore alle tradizionali tecniche visibili "vestibolari". Ideata soprattutto per pazienti adulti che non potessero permettersi o che semplicemente non desiderassero il temporaneo peggioramento del sorriso durante il trattamento, è tuttora una importante alternativa per molti casi di ortodonzia invisibile che non hanno i requisiti per poter essere trattati con allineatori termoformati di plastica trasparente, come quelli della metodica Invisalign.
Quando l'ortodonzia linguale è da preferire ad Invisalign
Con i progressi nella tecnologia degli allineatori termoformati la clinica di Invisalign è migliorata a tal punto che oggi possiamo fare trattamenti con Invisalign praticamente sempre.
Nel passato si riteneva che in alcuni casi di ortodonzia invisibile Invisalign potrebbe non essere stata da considerare la miglior tecnica da scegliere perchè gli allineatori plastici termoformati non avrebbero avuto le necessarie potenzialità biomeccaniche per provocare i movimenti dentali necessari. Tipicamente si trattava della maggior parte dei casi in cui fosse stato necessario chiudere spazi importanti tra i denti posteriori, come quindi nei casi in cui sia necessario estrarre i premolari per trovare lo spazio dove allineare gli altri denti. Così anche qualora siano necessari dei movimenti intrusivi ed estrusivi importanti per livellare le arcate dentarie. E ancora nella maggior parte dei casi in cui si fosse dovuto conseguire un riposizionamento mandibolare calcolato, ossia in pazienti con disordini temporomandibolari o craniocervicomandibolari con o senza importanti ripercussioni posturali globali. Nei casi che devono essere compendiati da chirurgia ortognatica delle basi mascellari ( casi combinati ortodontico-chirurgici), ammesso che gli allineatori abbiano in alcuni casi semplici la potenzialità della fase preparatoria all'intervento chirurgico, sarebbe in passato comunque occorsa l'applicazione di un'apparecchiatura fissa per la fase operatoria e quella postchirurgica e il cumulo economico delle due tecniche ortodontiche non sarebbe stato certo favorevole mentre l'ortodonzia linguale poteva essere invece usata come unica tecnica pre e post chirurgica.
Il progresso tecnologico degli allineatori Invisalign ha permesso agli operatori esperti di migliorare la clinica a tal punto da poter gestire perfettamente tutti i casi una volta deputati ad altre tecniche linguali
Quanto è accettata dai pazienti l'ortodonzia linguale
Il modesto ingombro all'interno della bocca è di solito ben tollerato e l'accettazione psicologica del periodo di terapia è comunque eccellente per via dell'invisibilità totale dell'apparecchio che è a buon titolo assolutamente invisibile. Ne traggono vantaggio anche le componenti gnatoposturali implicate in disordini cervico cranio mandibolari, spesso fin dai primi giorni del trattamento. Infatti l'apparecchio invisibile linguale può incorporare un effetto "bite" negli attacchi incollati sulle facce interne dei denti contribuendo al riposizionamento di una dislocazione mandibolare da malocclusione: i sintomi dolorosi si alleviano e i rumori articolari si attenuano spesso fin dai primi giorni di trattamento.
L'ortodonzia linguale, tecnica studiata per permettere un'ortodonzia invisibile ai personaggi del mondo dello spettacolo e della politica si è quindi dimostrata rapida ed efficace nel risolvere casi sia semplici che complessi in chiunque oggi la desideri.
Perchè questa ortodonzia si chiama linguale
L'idea rivoluzionaria di porre gli attacchi sulla faccia interna dei denti, rivolta verso la lingua, anziché sulla faccia esterno coperta dal labbro e però esposta al sorriso, ha fatto battezzare la tecnica "linguale". Quando invece gli attacchi sono incollati nel modo tradizionale inestetico, cioè sul lato dei denti esposto alla vista, la tecnica si chiama vestibolare poichè lo spazio tra il labbro e i denti è denominato "vestibolo".
Vantaggi e svantaggi dell'ortodonzia linguale
Di fronte al folto pubblico di pazienti che ha sempre apprezzato questo trattamento invisibile la maggiore complessità operativa per ortodontisti è stata la ragione per cui nonostante la sua grande efficacia sia stata usata fino a tempi recentissimi solo da pochi specialisti in Italia e nel mondo.
E questo nonostante rappresentasse l'unica possibilità di fruire dell' ortodonzia invisibile in tutti quei casi in cui non fosse indicato perchè poco predicibile nei risultati un trattamento con Invisalign (apparecchio invisibile), che per comfort e praticità costituisce generalmente l'approccio invisibile di prima scelta. Gli ultimi progressi tecnologici l'hanno resa in parte più semplice per nuove leve di ortodonzisti e auspichiamo che abbia una maggiore diffusione e che nessun medico dissuada più alcun paziente a avvalersi di questa tecnica supponendo per inesperienza degli svantaggi che non esistono.
Infatti è grazie a entrambe queste due metodiche che nella totalità dei casi il trattamento ortodontico non comporta più per i pazienti in cura la preoccupazione dell'inestetismo del sorriso durante il trattamento. Anzi permette di cogliere il miglioramento dell'allineamento dei denti sin dall'inizio: per l' osservatore esterno, inconsapevole della presenza di un apparecchio invisibile, può sembrare una magia!
Nei trattamenti di ortodonzia linguale il piccolo disagio fonetico dovuto all'interferenza degli attacchi interni con la lingua viene scavalcato in pochi giorni di adattamento, e solamente in pochi casi può essere necessario aspettare, mai comunque oltre un mese.
Ma i vantaggi dell'ortodonzia linguale sono tanti oltre l'invisibilità. Pensiamo alla maggior velocità del movimento ortodontico evidente soprattutto nei casi con morso coperto, al rischio più basso di insulti alla salute gengivale nelle zone visibili per la facilità delle manovre di pulizia domiciliare, al minor rischio di danni allo smalto dei denti nella superficie anteriore per la stessa ragione. E inoltre la grande efficacia nell'affrontare sintomatologie dovute a disordini e disfunzioni craniomandibolari, dovuta alla possibilità di incorporare negli stessi attachhi ortodontici linguali due rialzi occlusali ad effetto bite. Questi i motivi per cui risulta vantaggiosa e più veloce la tecnica linguale, in molti casi, rispetto alle tecniche tradizionali.






















