Apparecchio Invisibile Firenze
Invisalign e Gnatologia Posturale psicosomatica Ortodonzia Linguale
Home
» Foto Gallery
Foto Gallery
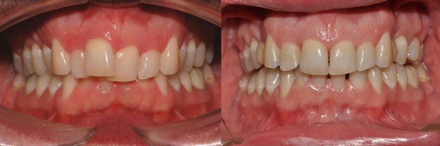
Caso estetico Invisalign
StudioFEDI: Malocclusione fortemente inestetica e ortodonzia invisibile Invisalign
04
Immagini
Ortodonzia Linguale Harmony
L'apparecchio linguale Harmony rappresenta il top di gamma del perfezionamento tecnologico
04
Immagini
Ortodonzia Linguale Incognito
Incognito è stata la prima tecnica linguale customizzata, digitalizzata solo in parte
02
Immagini
OrtodonziaInvisibile Incognito
StudioFEDI Asimmetria dentale con estrazione superiore e apparecchio linguale Incognito
09
Immagini
Nuovo caso estetico Invisalign
Affastellamento dentale in classe 2 divisione 2 trattato con Invisaligner e sbiancamento
08
Immagini
ortodonzia linguale estrazioni
Un caso di ortodonzia linguale con estrazioni asimmetriche scelte su denti malati
13
Immagini
Ortodonzia Linguale Classica
Primo caso di ortodonzia linguale dello StudioFEDI con montaggio classico TARG 18 anni fa
09
Immagini
Home
Casi Invisalign interessanti
Invisalign Firenze
Specialista OrtodonziaLinguale
Ortodonzia linguale Incognito
prezzo e costi
Consulenza senza impegno
Ortodonzia invisibile rapida
prezzi e costo
Ortodonzia Invisalign
prezzo e costo
Ortodonzia Linguale
costi e prezzi
OrtodonziaImmediata e Faccette
prezzi tecniche e costi
Per contattare lo Studio
Ubicazione Studio
Foto Gallery