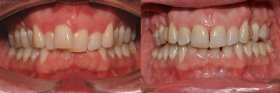
2.900 € è il costo base di un trattamento con ortodonzia linguale, sia con tecnica Classica che Incognito che Harmony. Non è possibile genericamente calcolare il prezzo globale di un singolo trattamento se non dopo l'esecuzione degli indispensabili record diagnostici, di norma compresi nel costo generale. Una volta stabilita la diagnosi e conseguentemente il piano di trattamento potremo considerarne i costi vivi e professionali e proporre la relativa rateizzazione nei terrmini concessi dalla durata del trattamento.
Nel caso sia opportuno e adatto al singolo caso clinico potrà essere proposta l'alternativa probabilmente più economica della tecnica Invisalign, sempre che sia conforme ai desideri del paziente l'efficacia raggiungibile.
E' sempre apprezzata dai pazienti del nostro Studio Fedi avere questa ragionata possibilità di scelta tra le varie tecniche di ortodonzia invisibile senza timore di incorrere in una forzatura dettata da minore esperienza in una o nell'altra : il nostro Studio pratica Ortodonzia linguale da 18 anni, usa le migliori tecniche e ha esperienza decennale in Invisalign con più di 500 casi seguiti.

