Ortodonzia invisibile rapida
Invisalign a Firenze è rapido e veloce

La ricerca continua e l'esperienza ha mostrato che in molti casi è possibile velocizzare il trattamento fino a dimezzare i tempi prima indicati.
Che cosa significa? Ho introdotto nei miei trattamenti con Invisalign i più moderni risultati della ricerca e dell'esperienza.
1) gli allineatori si possono indossare di settimana in settimana invece che ogni quattordici giorni.Semplicemente è sufficiente che io selezioni i casi in base al movimento dentale necessario, al metabolismo osseo che è collegato molto all'età biologica, alla disciplina quotidiana, alla verifica dopo i primi allineatori. Nella maggioranza dei casi questa maggiore velocità nel cambio degli allineatori Invisalign determina una risoluzione incredibilmente rapida e efficace del disallineamento dentale.
2) in alcuni casi in cui il tipo movimento dentale è più difficile (per esempio nelle rotazioni o inclinazioni dei canini inferiori affastellati) si può accellerare il movimento corretto e ottenere una rapida espressione della modifica di posizione indotta dall'allineatore. La ricerca recente ha dimostrato che è possibile stimolare ulteriormente e positivamente l'adattamento parodontale alla modifica di posizione del dente, accellerandone il movimento.
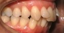
Nuovo caso Invisalign e Sbiancamento
Si tratta di una seconda classe seconda divisione trattata per migliorare l'estetica frontale del sorriso con invisaligner e sbiancamento dentale
Caso di Ortodonzia Invisibile Linguale Incognito in asimmetria dentale
Nel caso di questo sorriso penalizzato da asimmetria dentale in paziente adulto l'ortodonzia linguale è il trattamento elettivo poichè è conveniente strategicamente l'estrazione di un elemento dentale della stessa arcata, controlaterale alla deviazione della linea mediana dentale rispetto a quella del viso. E questo anche perchè coesiste affastellamento dentale.
Il trattamento è durato meno di due anni ed è stato completato con recounturing e reshaping e l'apposizione di una faccetta in ceramica sul canino superiore di destra che era fortemente discromico,scurito.
malocclusione poco estetica e ortodonzia invisibile Invisalign
E' questo un caso di inestetismo grave provocato da due combinazioni sfavorevoli: una malocclusione visibilmente inestetica e una displasia dello smalto sui singoli denti.
Posta la diagnosi si spiega ala paziente che avrà un bellissimo sorriso con un trattamento in due fasi: la prima di ortodonzia invisibile e la seconda con faccette in ceramica o porcellana . Così potrà ottenre il massimo risultato con minor sacrificio dentale possibile: sarebbe infatti troppo lesivo tentare di risolvere l'inestetismo con le sole faccette. E' chiaro quindi: in casi come questo prima si riallineano i denti e poi se ne corregge la forma ed il colore.
Come sempre nello Studio Fedi sceglieremo la tecnica di ortodonzia invisibile più comoda e sicura per la paziente , in questo caso Invislaign piuttosto che tecnica linguale con il vantaggio aggiuntivo di un sensibile risparmio di costi.
Visionato il clinchek e ottenuta l'approvazione della paziente si procede al trattamento.
Nelle immagini di questo articolo si può apprezzare la buona corrispondenza tra il risultato previsto nel clinchek e il risultato raggiunto. Invisalign quando indicata e ben attuata dall'ortodonzista è un'ottima tecnica alternativa a quella linguale.
Il caso è stato poi completato con le faccette estetiche in porcellana e potete apprezzarne la conclusione cliccando sul seguente ipertesto faccette estetiche in porcellana dopo ortodonzia invisibile Invisalign
Che cos'è un apparecchio invisibile?
Ortodonzia Invisibile a Firenze
Costi da 2.900 € per l'Ortodonzia Invisibile che può essere considerata sinonimo di Ortodonzia Estetica perchè nascosta alla vista in modo assoluto o apparente in modo difficilmente percettibile.





















