Apparecchio Invisibile Firenze
Invisalign e Gnatologia Posturale psicosomatica Ortodonzia Linguale
Home
»
Foto Gallery
»
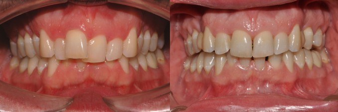
Ortodonzia Linguale Incognito
» Immagine 2/2
SlideShow
<<
>>
2/2
Home
Casi Invisalign interessanti
Invisalign Firenze
Specialista OrtodonziaLinguale
Ortodonzia linguale Incognito
prezzo e costi
Consulenza senza impegno
Ortodonzia invisibile rapida
prezzi e costo
Ortodonzia Invisalign
prezzo e costo
Ortodonzia Linguale
costi e prezzi
OrtodonziaImmediata e Faccette
prezzi tecniche e costi
Per contattare lo Studio
Ubicazione Studio
Foto Gallery